This is the follow up recommendation for a patient who was found to have 8 tubular adenomas (3mm-6mm) on recent colonoscopy.
What is 3 years?
- Depends on pathology, number, and size
Tubular Adenomas:
- 5-10 <10mm, 3 year follow up
- >10 polyps or >10mm, 1 year follow up
In a patient with an acute pericardial effusion, these 3 components comprise Beck's triad.
What is hypotension, muffled heart sounds and JVD?
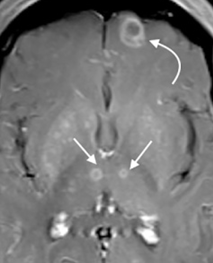
This is the treatment for a patient who is on long-term steroids with the following brain imaging. This patient is an excellent historian who tells you they recently decided to let their cat explore the outdoors where the cat quickly became skilled at catching (and eating) small prey.

What is sulfadiazine and pyrimethamine? BONUS pts for folic acid.

This is the goal correction of hyponatremia over 24hrs.
What is 8mmol/L?
This sparking vampire movie became a hit in 2008.
What is Twilight?

This High Lord is very prepared for Halloween as he can transform himself into a beast.
Who is Tamlin?
This is the treatment preference for a patient with suspected traveler's diarrhea. The afebrile, hemodynamically stable, and his diarrhea is not inferring with his activities of daily living.
What is hydration, bismuth, and loperamide?
- Mild traveler's diarrhea is supportive care
- Moderate to severe would be treated with fluoroquinolone, Azithromycin, or rifaximin
This is who performs a pericardial window.
Who is cardiothoracic surgery?
This is the suspected diagnosis in a patient who has new onset seizures and recently returned from Brazil.
What is neurocysticercosis?

This is the treatment for overcorrection of hyponatremia (name and dose).
What is DDAVP (Desmopressin) and 2-4mcg?

This movie is a British comedy known as a zom-com.
What is Shaun of the Dead?
This star is 12 light-years away and is the destination of the ship Hail Mary in the best-selling science fiction book Project Hail Mary.
What is Tau Ceti?
This is the most appropriate diagnostic test to preform in a patient with a history of Crohn's who is endorsing 4 non-bloody, liquid bowel movements daily. He denies fever, nausea, vomiting, weight loss, recent travel, sick contacts, antibiotic or NSAID use. His only medication is adalimumab. He is afebrile and hemodynamically stable.
What is C-diff testing?
- Risk of C-diff is up to 5x greater in a patient with IBD
- Usually an atypical presentation and does not include recent antibiotic use
This is the most sensitive test to rule out cardiac tamponade.
What is a normal IVC?
This is the treatment for bacterial meningitis in an individual with HIV and a CD4 count of 50.
What is vancomycin and meropenem?

This antibiotic increases creatinine without decreases eGFR by inhibiting tubular secretion of creatinine.
What is trimethoprim? (TMP or TMP/SMX)
This is the name of the feline friend in the Halloween classic Hocus Pocus.
Who is Thackery Binx?

Though we now carve pumpkins in the US this root vegetable was originally used in Ireland to ward off evil spirits.
What is a turnip?

This is the likely diagnosis in a 21 yo male presents with new onset rectal bleeding. You note that he has melanotic macules on his face and fingers on physical exam. Additionally, he tells you that he thinks his mother had multiple colonic polyps.
What is Peutz-Jeghers syndrome?

This is the first treatment to employ when you suspect cardiac tamponade.
What is give fluid/increase preload?
This is a treatment option in individuals with severe enterovirus meningitis.
What is IVIG?

This is the equation for urine anion gap.
What is (Na+K)-Cl?
Camp Crystal Lake is home to this notorious killer.
Who is Jason Voorhees?

This location in southern Ohio is considered the 13th most haunted place in the world according to the show "Scariest Places on Earth." (Very reputable source)
What is Athens Ohio?
- The Ridges AKA Athens Lunatic Asylum
- 3 cemeteries on site with over 2000 former patients buried there

This is the diagnosis in a patient with IBS and new pruritic eruption on her buttocks.
What is Celiac?
- Dermatitis herpetiformis
This is the one exception to giving fluid in suspected tamponade.
What is aortic dissection?
This is the likely diagnosis in a female patient who presents with acute onset psychosis and seizures found to have an ovarian teratoma.
What is Anti NMDA receptor encephalitis?

This is the name of the trial that showed semaglutide reduced the risk of clinically important kidney outcomes and death from CV causes in patients with DM2 and CKD.
What is the FLOW trial?
This Stephen King character is known for producing glamours to disguise himself in order to feed on people's fears. (name)
Who is Pennywise?
This event in 1692 led to a wave of paranoia and religious extremism in a Massachusetts village.
What are the Salem Witch Trials?