¿Quién es el Padre de la Histología?
Marcelo Malpighi
Uniones que sellan la unión entre células vecinas, dándoles cierto grado de "permeabilidad".
Uniones estrechas
Una característica del tejido epitelial es:
Conjunto de células estrechamente unidas
Abundantes uniones celulares
Polaridad: Posee una membrana basal (Separado de tejido conectivo) y una parte apical (libre)
Poco o nada de materia extracelular
Avascular y sin inervación
Alta tasa de mitosis
Proviene de las 3 capas germinales
Indique qué tipo de acinos son los siguientes.
A.Mucosos
B.Serosos
Un principio básico de la histoquímica es:
1.Que los compuestos que sean analizados no sean difusibles.
2.El producto de la reacción debe ser insoluble.
3.El método utilizado debe ser específico para la sustancia o grupo químico que se está analizando.
Adhesiones focales
Uniones adherentes
Desmosomas
Hemidesmosomas
Clasificación del tejido epitelial según:
1. Ubicación
2. Función
3. Morfología celular
4. Capas celulares
1. De revestimiento, de recubrimiento
2. Glandular y no glandular (sensorial, respiratorio, de absorción)
3. Plano, cúbico y cilíndrico
4. Simple, estratificado y pseudoestratificado
A. Nombre de la estructura señalada.
B. ¿Cuál es su función?
A.Célula caliciforme
B.Secretar mucus
¿Cuál es la diferencia entre las células totipotentes, pluripotentes y multipotentes?
Totipotentes: Capaces de generar cualquier célula del organismo, tanto somáticas como germinales. Incluye células que forman tejidos extraembrionarios. Se encuentran en la fase de Mórula.
Pluripotentes: Capaces de generar diferentes tejidos o células pertenecientes a diferentes tejidos, excepto aquellas que conforman los tejidos extraembrionarios. Se encuentran en la fase de Blastocisto.Multipotentes: Pueden diferenciarse en algunos tipos celulares. Ejemplo: Células de la médula ósea.
Dos hemicanales (uno en cada célula), formando un conexón.
Tipos y función de las especializaciones de la región apical:
Microvellosidades
Esterocilios
Cilios/Flagelos
Queratina
¿Cuál es el tipo de secreción/señalización?
C. Paracrina
D. Autocrina
¿Cuál es el concepto de "biotensegridad"?
Principio estructural/arquitectónico aplicado a la biología, donde el cuerpo humano funciona como una red autoestable de tensión continua (fascias, ligamentos, músculos) que suspende elementos de compresión discontinua (huesos), permitiendo movimientos eficientes, distribución de cargas y estabilidad, donde el cambio en una zona afecta a todo el sistema.
¿Cuáles son las diferencias funcionales y en cuanto a estructuras asociadas entre los desmosomas y los hemidesmosomas?
Los desmosomas unen célula-célula y los hemidesmosomas célula-MEC. Desmosomas: Cadherinas y filamentos intermedios (tonofilamentos), hemidesmosomas: Integrinas, colágeno y filamentos intermedios (tonofilamentos).
En esta imagen ¿cuál es el epitelio?
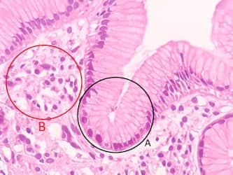
Y en esta, ¿Qué señala A y B?

1. A es el epitelio
2. A es la región apical y B es la membrana basal.
Indique el nombre de los estratos señalados y por qué proteína o tipo celular están conformados.
A)Estrato córneo, queratina
B)Estrato espinoso, queratinocitos
Explique cuáles son los tres componentes de los tejidos animales (indicando función y composición).
Células
Líquido Intersticial
MEC
¿Cuál es el nombre de las estructuras señaladas? Indique la función.
A – Colágeno: Resistencia (proteína estructural)
B – Proteoglicanos (Glúcidos, matriz de inserción de proteínas estructurales)
C. Integrinas (o también cadherinas): Proteínas transmembrana, anclaje con glicoproteínas (fibronectinas o lamininas).
C - Integrinas
Indique el nombre de los epitelios:
A. Columnar pseudoestratificado ciliado
B. Columnar simple
C. Plano estratificado no queratinizado
Indique el nombre del siguiente órgano, el tipo de glándula que es y el nombre de las siguientes partes:
Páncreas, glándula mixta.
A.Cápsula
B.Trabécula
C.Estroma
D.Lóbulo
E.Parénquima
F.Ducto
G.Islote de Langerhans