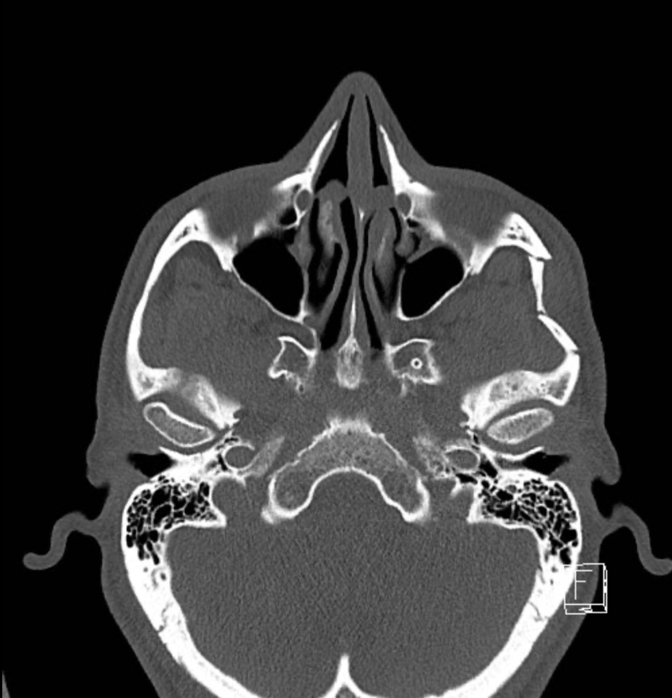
While attempting to demonstrate how close one can get to a horse without spooking it, a patient takes a hoof to the side of the face, resulting in a depressed facial fracture. Which two bones form the damaged structure shown?

Answer: Zygomatic and temporal bones
These bones form the zygomatic arch. The frontal bone does not contribute to the zygomatic arch and is less likely to be fractured in blunt force trauma to this area of the face, and is not affected in the axial CT image shown.
A maxillary nerve block is used by dentists during tooth extractions of the upper jaw. CN V2 and some of its branches are shown in highlighted in pink. Name the foramen it uses the exit the skull and the major extracranial fossa it can be found in.

Answers: Foramen rotundum and pterygopalatine fossa
The anesthetic needle is advanced upward and medially behind the posterior surface of the maxilla, beneath the orbit, to enter the pterygopalatine fossa housing the maxillary nerve.
Identify the circled nucleus and state whether a lesion here would produce a contralateral or ipsilateral deficit.

Answers: Hypoglossal nucleus and ipsilateral deficit
This is one of the hypoglossal nuclei, whose lesion causes ipsilateral tongue weakness and deviation toward the side of the lesion due to loss of lower motor neuron input to tongue muscles.
Identify the cranial nerve that originates from the circled nucleus and state whether a lesion of the nucleus would produce a contralateral or ipsilateral deficit.

Answers: Trochlear nerve and contralateral deficit
Most cranial nerve nuclei act ipsilaterally, but the trochlear nucleus is unique in that its fibers decussate within the midbrain, producing a contralateral deficit when the nucleus is damaged and an ipsilateral one when the nerve itself is damaged.
Infections within the danger space of the neck can descend directly into the posterior mediastinum, the central compartment of the thoracic cavity that lies between the lungs. This potential space is defined by which two layers of fascia in the neck?

Answer: Alar and prevertebral fasciae

Identify the foramen the red arrow is pointing to and name the gland associated with it.

Answer: Foramen cecum and thyroid gland
The foramen cecum marks the site where the thyroid gland begins its descent from the floor of the primitive pharynx, remaining connected to the tongue by the thyroglossal duct during early development.

A patient develops fever, eye pain, and swelling a few days after squeezing a pimple on the upper lip. A bacterial infection spread through the valveless facial veins into the dural venous sinus system, leading to cavernous sinus thrombosis with papilledema, proptosis, and vision loss from venous congestion.
True or False: Most blood from this intracranial system leaves the skull through the sigmoid sinuses.

TRUE
The sigmoid sinuses drain the overwhelming majority of intracranial venous blood into the internal jugular veins, but small amounts can exit via emissary and ophthalmic veins, which act as collateral pathways that may reverse flow during infection or venous obstruction.
During a cosmetic procedure to reduce nasolabial folds, a dermatologist accidentally injects dermal filler directly into the facial artery. Fillers can obstruct arterial flow if injected intravascularly, producing ischemic injury to downstream tissues. The skin in that area first becomes blanched and painful, later turning discolored as skin necrosis develops along the artery's distribution.
True or False: The affected artery gives rise to the supra-orbital artery along its course.

FALSE
The supraorbital artery arises from the ophthalmic artery, which is a branch of the internal carotid artery. The facial artery arises from the external carotid.

A common presentation of multiple sclerosis involves internuclear ophthalmoplegia, in which one eye fails to adduct and the other shows nystagmus (involuntary jerking movements) during lateral gaze. This results from demyelination of the medial longitudinal fasciculus (MLF), which coordinates horizontal eye movements by linking the abducens nucleus of one side to the oculomotor nucleus of the opposite side.
True or False: The functional column primarily affected in this case is the GVE column
FALSE
The MLF connects the oculomotor and abducens nuclei, both part of the general somatic efferent (GSE) column; the general visceral efferent (GVE) column instead controls autonomic functions such as pupil constriction and salivatory secretion.

The circled nucleus in this pontine cross section gives rise to a cranial nerve that helps control extraocular movement of the eye.
True or False: Lesion of this nucleus would impair abduction of the ipsilateral eye.

TRUE
The abducens nerve (CN VI) arises from the abducens nucleus in the pons and exits the brainstem via the pontomedullary junction to innervate the lateral rectus muscle, which abducts the ipsilateral eye. Damage to this nerve or nucleus causes medial strabismus due to unopposed action of the medial rectus muscle.
During thyroid or parathyroid surgery, special care must be taken to preserve the recurrent laryngeal nerves, which loop around different structures on each side before ascending to innervate the intrinsic muscles of the larynx (except the cricothyroid). On the right, it loops around the right subclavian artery, and on the left, around the aortic arch.
True or False: The parent nerve of the recurrent laryngeal nerve travels within the carotid sheath.
TRUE
The vagus nerve (CN X), which gives rise to the recurrent laryngeal nerve, lies within the carotid sheath, positioned posteriorly between the internal jugular vein and common carotid artery.

Aglossia is a rare congenital condition characterized by the complete absence of the tongue, and its exact cause is unclear. It typically results from failure of the lingual swellings derived from the first pharyngeal arch to form during early development.
True or False: The muscles of the tongue are normally all derived from the mesoderm of the occipital myotomes and innervated by the hypoglossal nerve.

FALSE
Most tongue muscles arise from mesoderm of occipital myotomes with the exception of the palatoglossus, which originates from mesoderm of the fourth pharyngeal arch and is innervated by the vagus nerve, not the hypoglossal. The palatoglossus is also a muscle of the soft palate.
After his 2002 car accident, Kanye’s jaw was wired shut due to a comminuted mandibular fracture, a procedure known as intermaxillary fixation, which immobilizes the mandible by anchoring it to the maxilla so the bones can heal properly. If the fracture extended near the mental foramen and caused numbness of the lower lip and chin, the mental nerve was likely affected. Before giving rise to this nerve, the parent branch enters the mandible through a foramen located on which part of the bone?

Answer: Ramus of the mandible

A woman’s lock of hair becomes caught in an industrial roller machine, producing a localized scalp degloving injury that tears through the epicranial aponeurosis in the skin overlying the former location of the anterior fontanelle. The resulting gaping wound bleeds heavily due to the dense vascular network of the scalp, and sensation is lost in the surrounding area. Which nerve division provides sensory innervation to this region of the scalp?
Answer: Ophthalmic nerve (CN V1)

Wallenberg syndrome results from occlusion of the posterior inferior cerebellar artery (PICA), causing vertigo from damage to the vestibular nuclei, loss of protopathic sensation on the ipsilateral face from damage to the spinal trigeminal nucleus and tract, and contralateral loss of protopathic sensation on the body from involvement of the spinothalamic tract. Patients also develop impaired swallowing and hoarseness due to injury of a specific medullary nucleus. Name this nucleus.
Answer: Nucleus ambiguus
The nucleus ambiguus contains SVE (branchial motor) neurons of cranial nerves IX and X, controlling pharyngeal, laryngeal, and soft palate muscles for swallowing, speech, and the gag reflex.

Cytomegalovirus (CMV) is one of the few infectious agents capable of crossing the placenta, where it can cause microcephaly, petechial rash, and hearing loss in the newborn. The virus damages the cranial nerve that enters the internal auditory meatus but does not exit the skull. What type of fibers are carried by the affected nerve?

Answer: Special somatic afferent (SSA) fibers
The vestibulocochlear nerve carries only SSA fibers, which transmit both auditory and vestibular sensory information from the cochlea and semicircular canals to the brainstem. CMV is the most common infectious cause of birth defects in the United States.
Horner’s syndrome may occur as a complication of carotid endarterectomy, during which sympathetic fibers associated with the common carotid artery can be damaged. This results in ptosis, miosis, and anhidrosis due to loss of sympathetic innervation to the face and eye. The descending sympathetic pathway that supplies these postganglionic fibers originates in which region of the brain?

Answer: Hypothalamus
The descending autonomic tract originates in the posterior hypothalamus and projects to preganglionic sympathetic neurons (T1–T2), and the sympathetic chain conveying these fibers lies outside the carotid sheath, where damage produces Horner’s syndrome with ptosis, miosis, and anhidrosis.
Children with Patau syndrome (trisomy 13) are usually born with a severe, bilateral midline cleft lip and palate, reflecting a failure of midline facial structures to properly fuse during development. This type of cleft results from abnormal formation and fusion of which embryonic structure that normally contributes to the philtrum, upper jaw midline, and primary palate?

Answer: Medial nasal swellings

The pterygopalatine fossa serves as a key crossroads between the nasal cavity, orbit, oral cavity, and middle cranial fossa. It houses the pterygopalatine ganglion, which carries parasympathetic fibers responsible for lacrimal gland secretion and nasal mucosal innervation. A major branch of the external carotid artery also courses through this space, giving off several branches before entering the nasal cavity as the sphenopalatine artery. Through which foramen does this artery pass to reach the nasal cavity?
Answer: Sphenopalatine foramen
The maxillary artery enters the nasal cavity as the sphenopalatine artery by passing through the sphenopalatine foramen, located between the sphenoid and palatine bones.

Botox (botulinum toxin type A), an extremely potent neurotoxin produced by Clostridium botulinum, is the most lethal biological substance known to science, being roughly two million times more potent than fentanyl by weight. Cosmetic use of Botox can also inadvertently relieve headaches. If administered to treat "crow's feet" lateral to the eye, the muscle responsible for these wrinkles receives dual innervation from which branches of the relevant cranial nerve?

Answers: Temporal and zygomatic branches of the facial nerve
The temporal branch of the facial nerve innervates the superior portion of the orbicularis oculi, while the zygomatic branch supplies the inferior portion.
Listeria monocytogenes, a foodborne pathogen often acquired from unpasteurized dairy products, can cause rhombencephalitis (inflammation of the hindbrain involving the pons and medulla) in immunocompromised or elderly individuals. After entering through the oral mucosa, the organism can ascend along trigeminal nerve fibers to reach the brainstem. Along with the GSA functional column, the trigeminal nerve contributes fibers to one other brainstem functional column. Name this functional column.
Answer: SVE (branchial motor)
In addition to its general somatic afferent (GSA) fibers, the trigeminal nerve carries special visceral efferent (SVE) fibers from the motor nucleus of V that innervate muscles derived from the first pharyngeal arch, including the muscles of mastication.

Blepharoplasty, a surgical procedure performed to remove redundant eyelid tissue, may be medically necessary when excess eyelid skin obstructs the visual field. While this requires careful avoidance of the supraorbital and supratrochlear nerves and vessels, the cranial nerve branches controlling lens accommodation and pupillary constriction are typically not at risk during the operation. The parasympathetic fibers responsible for regulating these actions arise from which midbrain nucleus?

Answer: Edinger-Westphal nucleus
The oculomotor nucleus provides somatic motor (GSE) fibers to the majority of extraocular muscles and the levator palpebrae superioris, while the Edinger–Westphal nucleus supplies visceral motor (GVE) parasympathetic fibers to the sphincter pupillae and ciliary muscles.
Smoking is a major risk factor for throat cancer, which may necessitate creation of a tracheostomy or permanent stoma through the 2nd to 4th tracheal rings, just below the isthmus of the thyroid gland. During this procedure, surgeons must take care to avoid the artery supplying the inferior portion of the gland. This artery originates from which specific vessel?

Answer: Thyrocervical trunk

After spending hours trying to learn embryology, a medical student begins to cry uncontrollably, producing tears secreted by a gland located in the superior lateral portion of the orbit. From which germ layer does this gland develop?

Answer: Ectoderm
The lacrimal apparatus, consisting of the lacrimal gland and ducts, develops from ectoderm.

Naegleria fowleri, often called the “brain-eating amoeba,” is a free-living organism that causes primary amebic meningoencephalitis, a rapidly fatal infection that destroys brain tissue within days of symptom onset. The amoeba typically enters the body when contaminated freshwater is forced into the nasal cavity during swimming or diving. From there, it attaches to specialized sensory neurons in the supero-lateral nasal wall and migrates along their axons, passing through tiny foramina to reach the olfactory bulbs and then the brain, where it causes extensive hemorrhagic necrosis of the frontal lobes. The foramina this agent travels through to enter the skull are part of which bone?
Answer: Ethmoid bone
The olfactory nerve passes through the foramina of the cribriform plate in the ethmoid bone, which is the same route used by Naegleria fowleri to enter the anterior cranial fossa. It is considered a free-living organism because it normally lives harmlessly in warm freshwater and soil without requiring a host.
Frey’s syndrome causes sweating over the cheek while eating or even thinking about food. It occurs after parotidectomy when parasympathetic fibers from the glossopharyngeal nerve meant for the parotid gland regenerate and innervate nearby sweat glands of the overlying skin. During this surgery, care must be taken to preserve the facial nerve, which passes through the gland, as well as the external carotid artery and the large vein running deep to them. Which division of this vein drains into a vessel that travels through the carotid sheath?
Answer: Anterior division (of retromandibular vein)
The anterior division of the retromandibular vein merges with the facial vein before draining into the internal jugular vein that runs within the carotid sheath, while the posterior division joins the posterior auricular vein to form the external jugular vein.
Locked-in syndrome has no cure and can strike without warning. Some patients wake up suddenly, fully conscious but completely paralyzed, unable to move or speak. A basilar artery stroke destroys the ventral pons, interrupting the 3 descending motor tracts, while sparing sensory pathways and consciousness. Because the oculomotor and trochlear nerves arise above the lesion in the midbrain, patients can usually still move their eyes vertically and blink, but no other skeletal muscles respond. Which specific midbrain structure normally contains all 3 of the destroyed tracts as they pass through the midbrain?
Answer: Cerebral peduncle

A Chiari malformation occurs when the cerebellar tonsils herniate through the foramen magnum, compressing the medulla and upper spinal cord. Patients may present with dysphagia, hoarseness, ataxia, and deviation of the tongue due to involvement of multiple cranial nerves and cerebellar structures. The affected cranial nerve responsible for the tongue symptom emerges from the medulla between which two specific structures?
Answer: Pyramid and inferior olive
The hypoglossal nerve arises from the preolivary sulcus of the medulla, emerging between the pyramid and the inferior olive before exiting the skull via the hypoglossal canal. It is the only cranial nerve that emerges between these two structures; cranial nerves IX, X, and XI instead emerge lateral to the olive in the postolivary sulcus.
A 58-year-old man with a long history of chewing tobacco use presents with a non-healing ulcer on the lateral border of his tongue, later diagnosed as squamous cell carcinoma. On examination, several enlarged submandibular lymph nodes are palpable. Lymph from this region of the tongue drains primarily to these nodes before reaching the deep cervical nodes, where one group—often enlarged in tongue carcinomas—is located near the intermediate tendon of a muscle that depresses the hyoid bone. Which lymph nodes are these?
Answer: Jugulo-omohyoid lymph nodes
The jugulo-omohyoid nodes, part of the deep cervical chain, are commonly enlarged in tongue cancers because they receive lymph from the central and posterior portions of the tongue after it passes through the submandibular nodes.
Rubella is a viral infection and one of the few infectious agents capable of crossing the placenta to cause congenital defects, including deafness, cataracts, and cardiac malformations. Hearing loss in these infants may result from abnormal development of structures derived from which pharyngeal pouch, responsible for forming the medial side of the tympanic membrane, epithelial lining of the middle ear cavity, and Eustachian tube?

Answer: First pharyngeal pouch
