Dealer's Choice
Genie In A Bottle
It's going TIBIA okay
Osseous Oddities
Getting handsy
100

What additional workup should be included in your evaluation of an infant with bilateral knee dislocations?

Cervical xray
(Larsen's Syndrome)

-Concern for spinal cord injury during intubation
Fusion recommended to be performed during the first 18 months of life to prevent neurological deterioration

100

Identify the disease & the associated pathologic finding:
COLA1

Half points for partial answers, other team can steal

Osteogenesis imperfecta
Olecranon avulsion fracture


100

This type of bowing is considered physiologic

Posteromedial i.e., genu valgum

100

Achondroplasia affects which part of the growth plate?

100pt bonus: name the mutated gene AND the effect of that mutation

Proliferative zone

FGFR3 - inhibits proliferation & terminal
differentiation of chondrocytes in growth plate

 


100

Name this deformity:
must be specific
 

Complex syndactyly


Most common complication: web creep
  -early creep - necrosis of the tip of the dorsal quadrilateral flap and loss of full-thickness skin graft placed in the web
  -late creep (adolescence) - discrepant growth between scar/skin graft and surrounding tissue during the growth spurt

200

Duchenne's muscular dystrophy is characterized by the (1) absence of what gene and (2) elevation in what lab marker?

Absent dystrophin; elevated creatinine phosphokinase (CPK)

200

PHEX

XL rickets

200

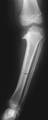
NF1 is associated with this direction of bowing

Anterolateral

Although the risk of fracture with the development of pseudarthrosis exists, the initial treatment consists of bracing through maturity. Narrowing of canal at site of fracture is important distinguishing factor from NAT


200

Name the associated syndrome and the altered gene:
Half points for partial answers, other team can steal

Shepards Crook deformity = Fibrous dysplasia; GNAS

200

Name this deformity and the finger finding that comes with it:
Half points for partial answers, other team can steal


Radial Clubhand (radial deficiency) + absent thumb

-AD
-Associated with: Holt-Oram; VACTERL; VATER

300

In patients with spinal muscular atrophy undergoing genetic testing, what is abnormality is seen and how can it be an indicator of progrnosis?

Survival motor neuron 1 (SMN-1) gene; all patients with SMA lack SMN-I protein severity of disease based on number of functional copies of SMN-II


-AR telomeric gene deletion

300

Name the associated syndrome AND inheritance pattern (must get both):
EXT

100pt bonus: what is the risk of progression to secondary chondrosarcoma?

MHE (Multiple Hereditary Exostosis) - AD

-Osteochondroma with 5-10% chance of becoming secondary chondrosarcoma, most commonly in pelvis
-EXT1 has most severe presentation (compared to 2 or 3)

300

Fibular hemimelia is associated with this direction of bowing


100 bonus points: what is the classic description of the ankle joint pathology associated with fibular hemimelia?

Anteromedial
-"ball and socket" ankle joint

-50% also have tarsal coalition


300

Name this pathology (be specific):
100pt bonus for each associated syndrome you can name


Calcaneonavicular coalition
-can be non-syndromic, autosomal dominant

Syndromic: Fibular hemimelia, Apert, FGFr- associated craniosynostosis

versus talocalcaneal coalition

300

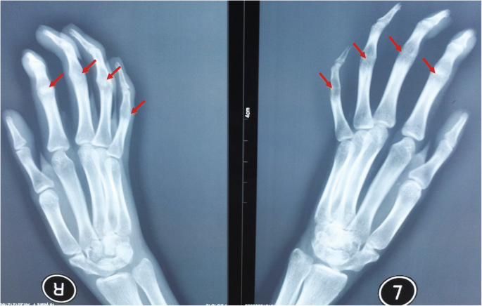
Name the finding below and associated syndrome:
Half points for partial answers, other team can steal


Clinodactyly; Down's syndrome

Abnormal curvature, usually middle phalanx of small finger

400

This syndrome features hitchhikers thumb, cauliflower ears, patellar dislocation and life threatening spinal deformity?

100pt bonus: Identify the mutated gene

Diastrophic dysplasia

(severe cervical kyphosis and atlantoaxial instability)

Bonus: sulfate transporter gene

400

Identify the the mutated gene and the associated pathologic finding:
Multiple Epiphyseal Dysplasia (MED)

Half points for partial answers, other team can steal

1. COMP (COLA variants so rare they will not be tested)
2. Double layered patella


400

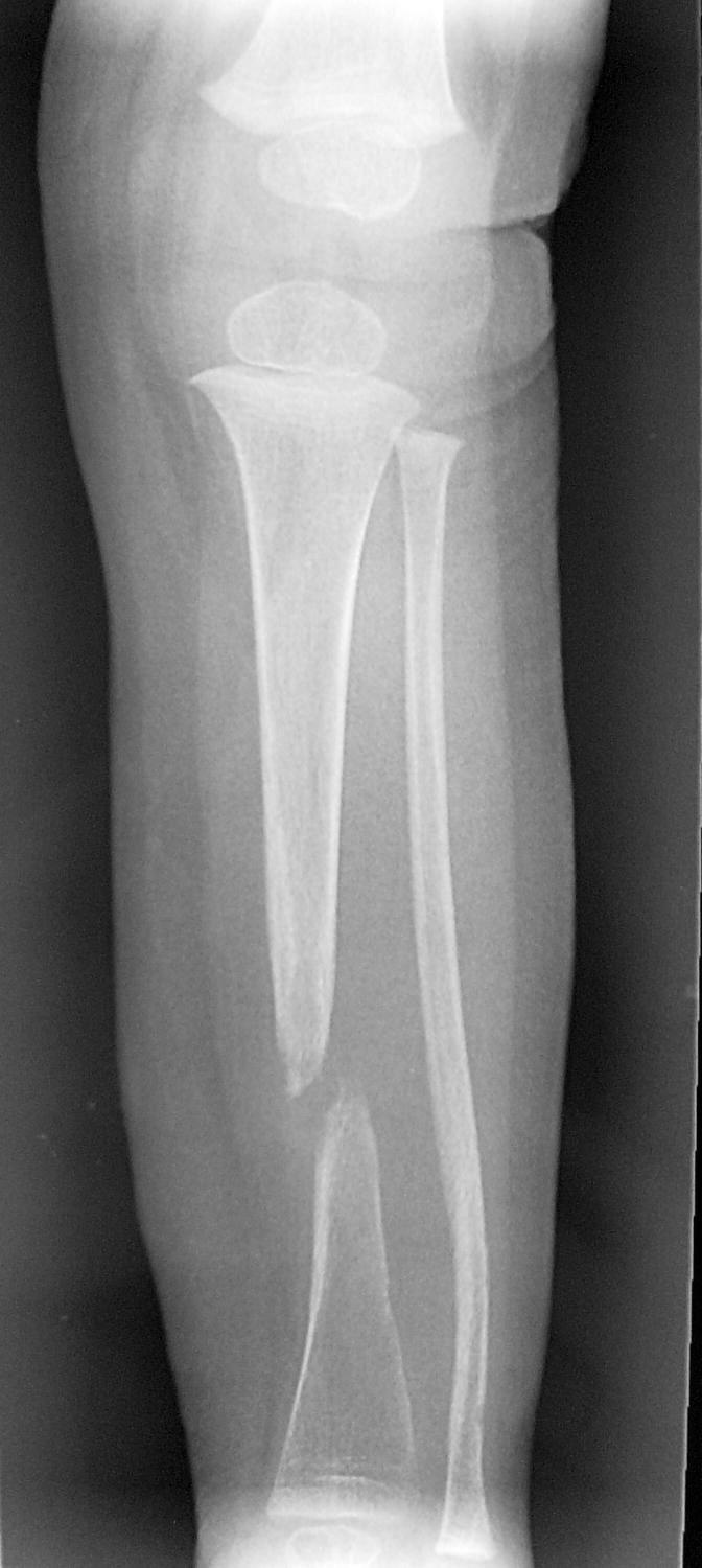
Identify the syndrome/disease

Infantile Blount's Disease

-Metaphyseal beaking

400

Absent thoracic pedicles are a key feature of this syndrome

Camptomelic dysplasia
 
-congenital dwarfism associated with potentially fatal respiratory insufficiency

- anteriorly bowed tibias with cutaneous dimpling, anterolaterally bowed femurs, thoracic kyphoscoliosis, hypoplastic scapulas,  

400

Identify the syndrome associated with the following hand deformity:

Poland's syndrome

-unilateral chest wall hypoplasia
(absence of sternocostal head of pectoralis major)
-hypoplasia of the hand and forearm
-symbrachydactyly and shortening of middle fingers  (absence or shortening of the middle phalanx) (simple complete syndactyly of the short digits)

500

For each embryologic signaling center:
(1)Identify the axis/direction of growth it controls and,
(2) associated signaling molecule

AER, ZPA, and PZ 

hint: no associated molecule for PZ

(of course it's hard as heck, it's worth 1,000 points)
(I'll give you 100 consolation points for each grouping you get correct if you can't get all three)
 

AER - proximal to distal, FGF

ZPA - anterior to posterior, Shh

PZ - Dorsoventral axis


500

Identify the syndrome and the mutated gene:
Half points for partial answers, other team can steal



Apert Syndrome; FGFr2

-bilateral complex syndactyly of hands and feet
index, middle, and ring fingers most affected
-symphalangism
-premature fusion of cranial sutures (craniosynostosis) results in flattened skull and broad forehead (acrocephaly)
-hypertelorism (increased distance between paired body parts, as in wide set eyes)
-normal to moderately disabled cognitive function
-glenoid hypoplasia
-radioulnar synostosis


500

Fibular hemimelia is associated with this absence of the structure in 95% of patients

ACL

(also seen in PFFD)

500

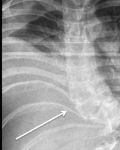
Rib penciling is seen in this syndrome (must be specific)

NF1 (NF2 not associated with scoliosis)

Rib penciling: >3 ribs is poor prognostic factor (87% progressed significantly)

500

The following hand findings are called:


Symphalangism (failure of IP joint to differentiate)


AD - OR - Apert's;Poland's