Common drain left in place after rib plating
What is a Blake drain
Lethal Triad
What is hypothermia, coagulopathy and acidosis
Two causes of high peak pressure
Kinked ETT
Secretions in ETT
Biting the ETT
Vent asynchrony
What is 30 mEq
IVPB amiodorane dose
150 mg over 10 minutes
8.5 Fr, 10 Fr, 12 Fr, 14 Fr are common sizes
What is a Pigtail catheter
200-400 mg/dL
What is a normal fibrinogen level
Next action?
What is right main stem intubation, retract ETT atleast 3-5 cm
the nurse understands that multiple causes can contribute to this finding.
Hypocalcemia
Hypokalemia
Hypomagnesaemia
Drugs
Congenital prolonged QTc
Hypothermia (profound)
Half life of Lasix
~2 hours
(& Lasts for 6 hours)
Tidaling is seen in what part of the chest tube system?
What is the water seal chamber
Pro-Clot agent used in MTP
What is TXA
A concern with COPD/asthmatic patients when intubated
What is Auto-PEEP (or breath-stacking)
Double Jeopardy!!!
Concern with overcorrection of hypernatremia
Osmotic demyelination syndrome
IV Haldol is ordered for your patient. Nurse's priority concern before administering.
check the QTc measurement
Right atrium or superior vena cava
What is: the normal location of a central line tip
Two factors that largely determine O2 availability to the cells
What is: pH and temperature
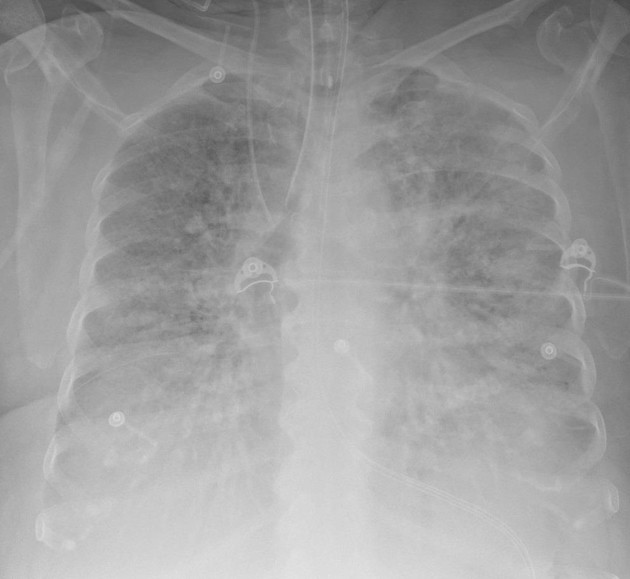
Your patient's AM CXR. Vent changes that you anticipate (2 important ones) 
High PEEP and low tidal volumes
154 mEq/L
What is the amt of sodium in 0.9% NS
IV Clindamycin is ordered, nurse knows to monitor for...
Diarrhea - concern for C-diff
Max amt of CSF to drain in one hour (BONUS question: how much CSF is made in 24 hrs?)
What is 20 ml/hr
What is 300-600ml/24 hrs
An indirect measure of tissue ischemia used to guide resuscitation
What is Base Deficit
Appropriate "lung protective" volume for a patient
4-6 ml/kg
*predicted body weight, not actual
Electrolyte that needs to be replaced aggressively s/p liver surgery
What is phosphorus
Essential lab to know prior to starting insulin drip
hint NOT GLUCOSE
Potassium