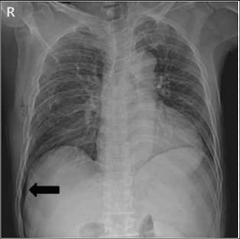
Name of the finding on this CT scan.

Name of this sign.

What is deep sulcus sign?
You need to obtain this CT to evaluate for mesenteric ischemia
What is a CTA of the abdomen
The vascular injury that can arise from this injury.
What is a popliteal artery injury?
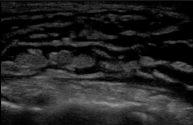
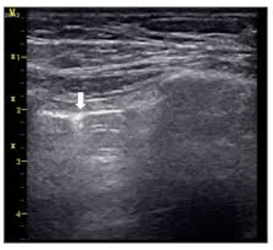
This US fidning on skin US
What is cobblestoning?
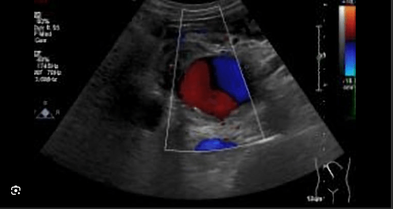
This vasculature is involved in the injury present on this CT.

What is the Middle Meningeal Artery?
Name the EKG finding associated with this US finding.

What is electrical alternans?
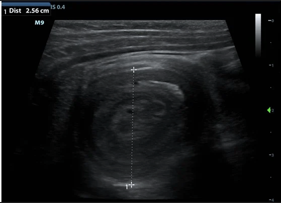
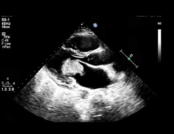
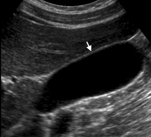
The name of this abdominal US finding.
What is intussussception?
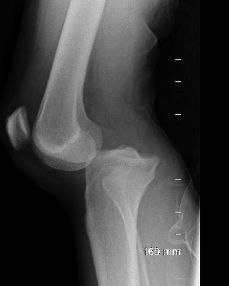
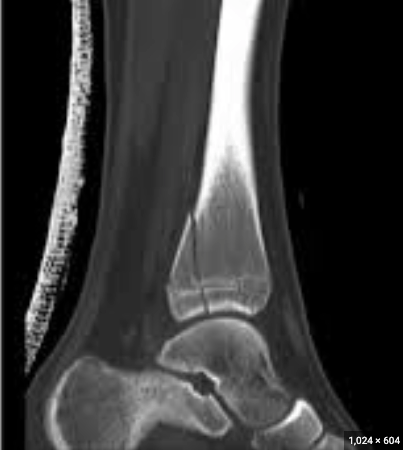
Salter-Harris classification for this fracture.

What is a Salter Harris IV fracture?
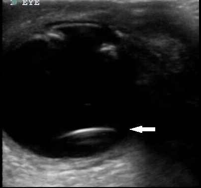
This US finding on ocular US.

What is retinal detachment?
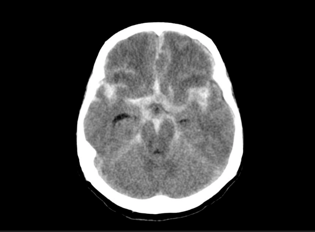
Name of the disease found on this CT.
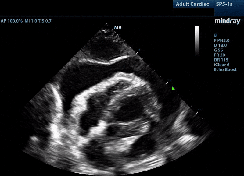
Name of this ultrasound finding of the heart.
What is a cardiac myxoma?
Blood accumulates here first during abdominal trauma.
What is Morrison's pouch?
The nerve injured when this injury occurs.
What is a radial nerve injury?
This US finding on ocular US.

What is lens dislocation?
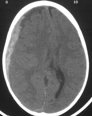
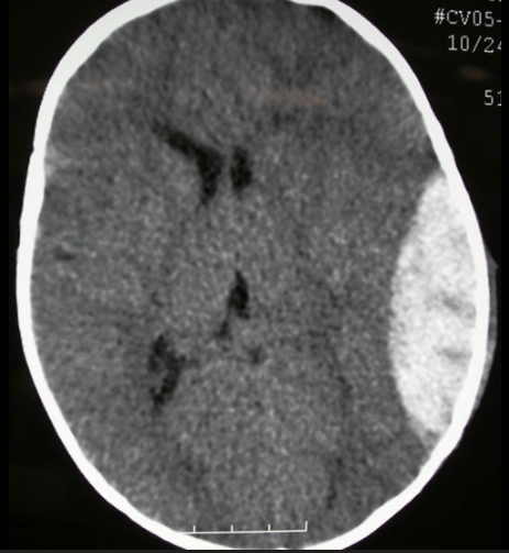
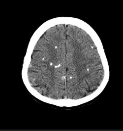
This is the finding on this CT.
What is subarachnoid hemorrhage?
Common finding on US with edema or consolidation.

What is B lines?
Gallbladder wall thickness to be considered thickened.
What is >3mm?
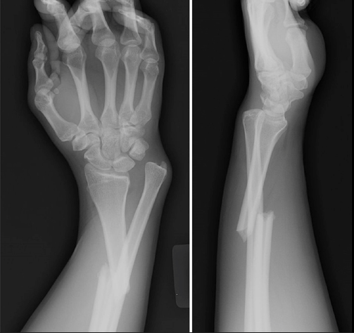
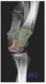
Name of this fracture.

What is a Galeazzi fracture?
This Us findinging indicates this disease.
What is CRAO? (Spot sign)
The name of this sign which can indicate a dural venous sinus thrombosis.

What is Delta Sign?
Most specific sign on US for pneumothorax.
What is a lung point?
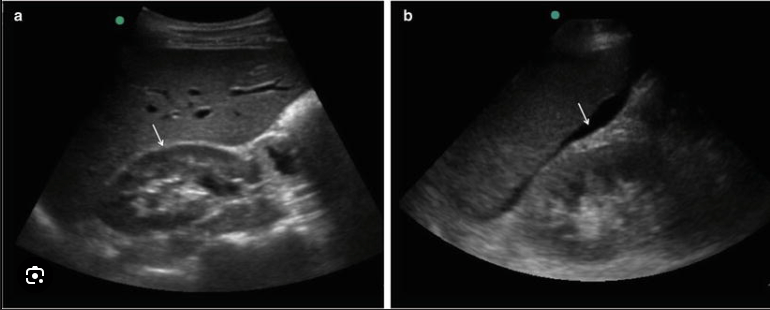
Finding on abdominal ultrasound exam.
What is a molar pregnancy?
Name of this injury.

What is a lunate dislocation?
Ying-yang sign indicates this pathology.
What is aneurysm or pseudoaneurysm?