This common elbow injury is often due to sudden longitudinal traction applied to the arm of a child that results in subluxation of the annular ligament.
What is Nursemaid's Elbow?
A laceration over the extensor surface of the third MCP joint after a patient reports being involved in an altercation and punching another individual in the mouth is concerning for this injury.
What is a fight bite injury (with possible associated extensor tendon laceration)?
This nerve is at risk for injury with a humeral shaft fracture and can result in wrist drop.
What is the radial nerve?
This is the most appropriate initial immobilization for a patient with a clavicle fracture.
What is a sling?
LCP
What is Legg-Calve-Perthes?

A patient complains of severe right knee pain, redness, warmth and swelling after drinking beers and eating a burger with friends last night. This is the description of crystals seen on the synovial fluid analysis for the suspected diagnosis.
What are negatively birefringent needle shaped crystals?
This Salter Harris type fracture classification involves a fracture through the physis and extends into the epiphysis.

What is Salter-Harris Type III?
These are boney prominences that form along a joint as a result of osteoarthritis and this instrument is used in total joint arthroplasty surgery to remove them.

What are osteophytes?
A patient involved in a motor vehicle collision who suffered a hip dislocation that was treated with delayed closed reduction after 12 hours of presentation is at high risk for this complication.
What is AVN (avascular necrosis or osteonecrosis) of the femoral head?
This is the most appropriate splint for a patient with radial-sided wrist pain and positive Finkelstein's sign.
What is a thumb spica splint?
LFCN
What is lateral femoral cutaneous nerve?
Compression causes meralgia paresthetica.
These joints of the hands are typically spared in patients with rheumatoid arthritis.
What are the distal interphalangeal joints?
An 8 year-old boy fell out of a swing landing on his extended left elbow. The radiologist has read the x-ray as negative but upon further review the image shows this radiographic sign that is concerning for an occult supracondylar humerus fracture.

What is a fat pad sign (posterior fat pad and anterior sail sign)?
This versatile retractor with a military name is used in a variety of surgical specialties.

What is an army-navy retractor?
This is the best course of action for a patient scheduled for an elective total hip arthroplasty with a hemoglobin A1C of 9.3% noted during the pre-operative evaluation.
What is cancel or postpone the surgery (this patient is not optimized)?
Optimal A1C for elective orthopaedic surgery is <7.5%.
Elevation of blood glucose, increasing pain in the first 24 hours, flushing, hypopigmentation and subcutaneous fat atrophy are important side effects to educate your patients about with this injectable medication.
What are corticosteroid injections?
FOODS
What is fell out of deer stand?
This diagnosis is suspected based on the x-ray findings shown here.

What is pseudogout (CPPD--calcium pyrophosphate deposition disease)?
This condition affects obese adolescent males more than females and is described as sliding of the femoral metaphysis relative to the epiphysis.
What is slipped capital femoral epiphysis (SCFE)?
This retractor used in hip surgery is named for the father of total hip arthroplasty.

What is a Charnley retractor?
A patient is at risk for this complication if he presents after a fall on an outstretched hand with snuffbox tenderness and is not immobilized.
What is a scaphoid fracture nonunion and subsequent avascular necrosis?
This is the most appropriate splint and ankle position for a patient with an acute Achilles tendon rupture.
What is a short leg posterior splint in equinus (ankle plantar flexion)?
ETO
What is extended trochanteric osteotomy?
Often utilized to remove a well fixed cemented or press fit femoral stem in total hip arthroplasty revision surgery.
This disease commonly presents with fatigue, arthralgias, and a facial rash as shown in the picture. Laboratory exam reveals a highly positive antinuclear antibodies, anti-double-stranded DNA, and anti-Smith antibodies.
What is Systemic Lupus Erythematosus?
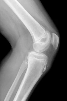
This lateral x-ray image shows a common cause of anterior knee pain in adolescent boy basketball players.

What is Osgood-Schlatter's disease (traction apophysitis of the tibial tubercle)?
This Zone of the hand is referred to as "No Man's Land" due to the complex anatomy and poor surgical results if a laceration involves the flexor tendons.

What is Zone 2?
A patient is POD# 5 right knee replacement and presents with severe calf pain, tense swelling, and pain with passive ankle dorsiflexion which is concerning for this post-operative complication.
What is a DVT?
This is the appropriate four view knee x-ray series to evaluate a patient without a history of trauma and concern for osteoarthritis.
What is AP standing, PA flexion (notch or Rosenberg) view standing, lateral, and sunrise (or Merchant)?
TFCC
What is triangular fibrocartilage complex?
Most common cause of ulnar sided wrist pain.

This deformity is commonly seen in the hands of patients suffering from Rheumatoid Arthritis and is described as hyperextension of the PIPJ with flexion of the DIPJ.

What is Swan Neck deformity?