This cerebellar tumor is the most common malignant brain tumor in children and often spreads through the cerebrospinal fluid.
What is medulloblastoma?
The attack on this U.S. naval base on December 7, 1941, led to America’s entry into World War II.
What is Pearl Harbor?
This syndrome is characterized by
- ipsilateral motor weakness
- ipsilateral loss of vibration sense
- contralateral loss of pain and temperature
What is Brown-Séquard syndrome?
NITPNEOCI
A 2010 mind-bending thriller about dreams within dreams.
What is Inception?



What is Ethmoidal Dural AV Fistula?
This tumor was first described by Eduard von Sandifort in 1777.
What is vestibular schwannoma (acoustic neuroma)?
Known for his “New Deal,” this president helped guide the U.S. through the Great Depression and World War II.
Who is Franklin D. Roosevelt?
This symptom is present in the cauda equina syndrome but not in the conus medullaris syndrome.
What is pain?
OMLANR ABRNOD
“I’m gonna make him an offer he can’t refuse.”
What is Marlon Brando?
Classical seatbelt injury described by an Irish radiologist in 1948.



What is Chance Fracture?
In the context of Tuberous Sclerosis, these tumors can obstruct CSF flow.
What is SEGA (Subependymal Giant Cell Astrocytoma)
The Emancipation Proclamation was issued during this war.
What is the Civil War?
This eponym describes venous hypertensive myelopathy from a spinal AVF.
What is Foix-Alajouanine Syndrome?
RNJFNIEE WCENRLAE
Star of Silver Linings Playbook and The Hunger Games.
Who is Jennifer Lawrence?
I am a tumor of the skull base that can be sporadic or part of a syndrome.

What is Endolymphatic Sac Tumor?
This military man was a famous meningioma patient of Harvey Cushing.
Who is General Leonard Wood.
He was the only U.S. president to resign from office.
Who is Richard Nixon?
This tract is involved in subacute combined degeneration of the cord but not in tabes dorsalis.
What is the corticospinal tract?
AEBMOHIAN YADHORPS
2018 biopic about a certain Queen frontman.
What is Bohemian Rhapsody?
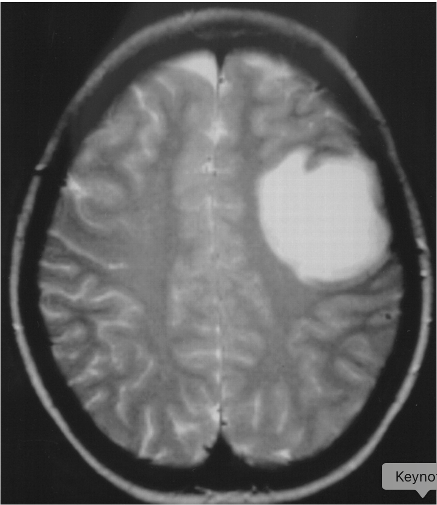
MRI in a 21 year old woman with seizures, visual blurring and paresthesias.



What is Tumefactive Multiple Sclerosis?
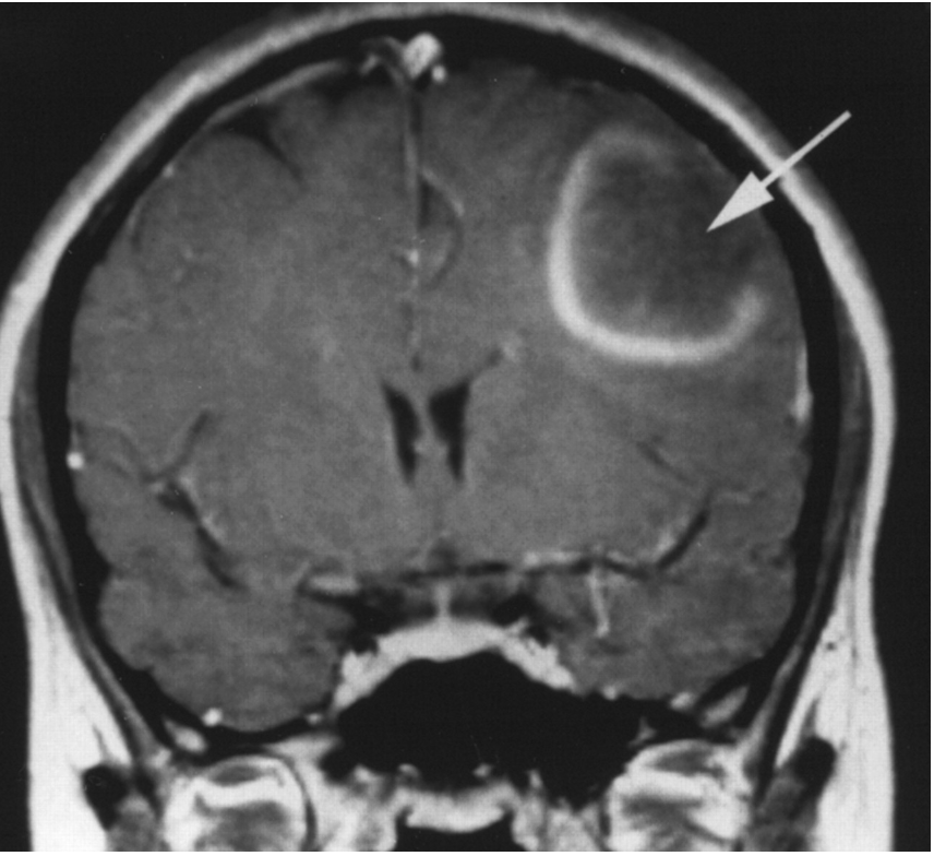
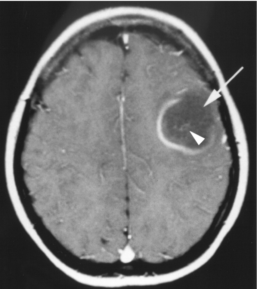
This brain tumor often shows astrocytic cells, lipid-laden cells, eosinophilic granular bodies, and generally low mitotic activity.
What is PXA (Pleomorphic Xanthoastrocytoma)
This 1954 Supreme Court case unanimously struck down racial segregation in public schools.
What is Brown v. Board of Education?
Lamina 7 is also known by this eponym.
What is Clarke's collumn?
UEDARY UHNEBPR
Known for her elegance, humanitarian work with UNICEF, and roles in films like “Sabrina” and “My Fair Lady,”.
Who is Audrey Hepburn?
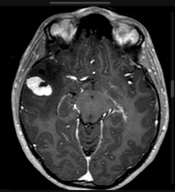
Even though I am not a meningioma, I can sometimes exhibit a dural tail.
Even though I am not a gangioglioma, I can sometimes exhibit scalloping of the overlying bone.

What is Pleomorphic Xanthoastrocytoma?