Name one risk factor for NEC
Prematurity, Microbial Dysbiosis (extra 100 pts), systemic inflammation (extra 100 pts)
Name 3 clinical GI findings, suspicious for NEC
1. abdominal distention
2. bloody stools
3. emesis
A baby is noted to have increased apnea/bradycardic episodes overnight. The nurse also tells you that he had a stool that looked bloody. On your exam you feel like the baby's abdomen is more distended but still soft. Baby's ABG is shows pH 7.3, CO2 55. Does this baby have NEC?
No, Stage 1 (Bell Staging), suspected NEC
NPO (Stop feeds)
Reduces the incidence of NEC
What is breastmilk
This risk factor's awareness month is celebrated in February
CHD (congenital heart disease)
What might you see on an ABG in a baby with NEC?
Respiratory or metabolic acidosis
Baby is noted to have increased A/B overnight with no increased WOB. Abdominal exam is unremarkable. Should you get a KUB?
Not necessarily, not concerning for NEC
A baby has stage 2 NEC, what is the management of this
Medically (NPO, Empiric antibiotics, Serial abdominal exams)
what antibiotics are used in NEC
Ampicillin
Gentamicin
Metronidazole
Overuse of this can lead to NEC (hint: infection)
Antibiotic overuse can be a risk factor for NEC
What lab abnormalities might you have in a baby with NEC? (Hint: Na, Plts)
Hyponatremia, Thrombocytopenia
thrombocytopenia
Bell Stage 2 NEC
You see a pneumoperitoneium on KUB, what is your next step
Call surgery
Duration of antibiotic therapy for medical NEC
2 weeks
90% of cases of NEC occur in this population
What is VLBW infants born < 32 weeks
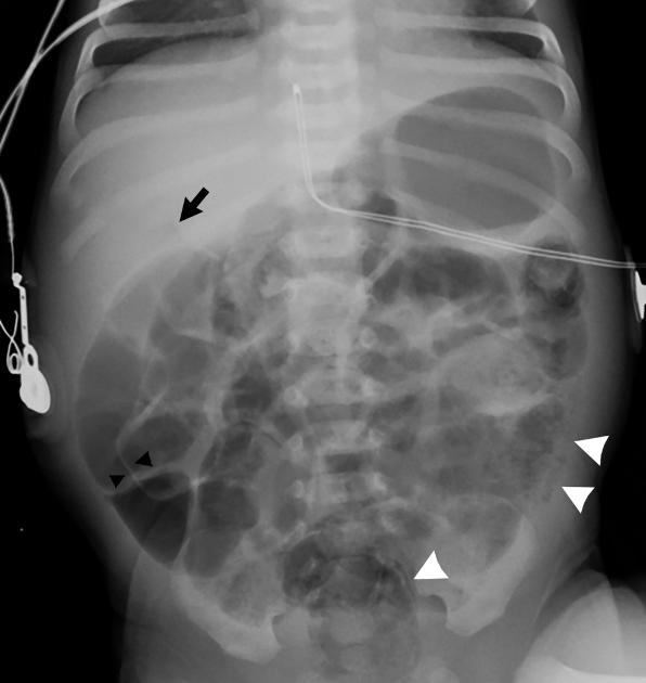
What is this?
What is pneumatosis intestinalis
A baby w/ A/B episodes, metabolic and respiratory acidosis, pneumatosis intestinalis suddenly develops hypotension. What new finding might you see on KUB? that would suggest stage 3 NEC
pneumoperitoneum
This is used while a baby is receiving bowel rest
TPN
what does a football sign mean on XR?
Seen with massive pneumoperitoneum
In supine position air collects anterior to abdominal viscera
True or False: Hyperosmolar feedings increase the risk of NEC
True

pneumoperitoneum
How is Stage 2 NEC managed
Medically
You see pneumatosis intestinalis on KUB. What should you do next?
manage medically: NPO, antibiotics, serial abdominal exams
most common portion of GI tract affected by NEC
Terminal ileum and colon