How many bones are in the adult human body?
What is 206?
Orthopedic surgery is one of the more sought after career paths for physicians, but also one of the most timely. On average how many years does it take to become a licensed orthopedic surgeon after high school?
What is 13-14 years.
What are the two bones broken in this photo?

What is the radius and ulna.
The field of orthopedics started through the treatment of the spine, limbs and bones in this demographic of people warranting the combination of root words "ortho" and "pais." What demographic of person birthed the practice of orthopedics?
What is children.
Sometimes called your "funny" bone, what bone is this?

What is the humerus?
Doctor burnout is a growing issue in the field of medicine. On a three tiered system of low burnout, medium burnout, and high burnout, where do orthopedic surgeons usually fall?
What is low burnout.
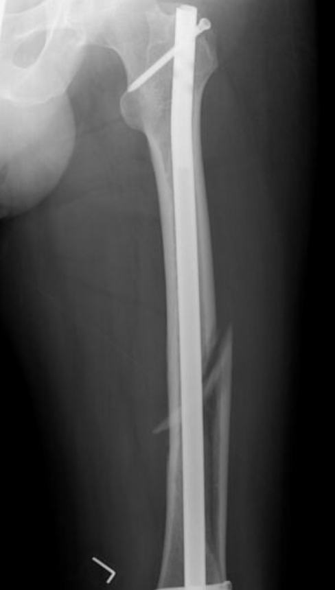
Dr. Carlin had to undergo surgery after an encounter with the hardy pearson hall staircase. After breaking which bone did he need nails and rods to be put in?

What is femur.
This famous person underwent the most common orthopedic surgery stating that “I literally could not lift my leg, I couldn't lift my heel off of the bed." What is the most common surgery?
What is knee surgery.
The longest region of your back, this region is?

What is the thoracic region?
Orthopedics is often grouped in with the treatment of professional athletes. What age range in increments of ten (0-9,10-19, 20-29...) reportedly has the most surgeries? 
What is 40-49.
Pictured is a type of fracture often observed in the youth. What type of fracture is it?
What is a Greenstick fracture.
This operation named after an MLB player reconstructs the Ulnar Collateral Ligament and is popular among many pitchers. What is the name of this procedure?
What is Tommy John Surgery.
Derek Rose famously tore this ligament located in the middle of the knee. it is the most common knee ligament to be torn. Which ligament is it?

What is the Anterior Cruciate Ligament (ACL).
Measured to have the fourth hardest match rate of medical specialties, orthopedic surgery is very competitive. What is the match rate for orthopedic surgeons in 10% increments(0-9%, 10-19%, 20-29%...) in 2023?
What is 70-79% (71%).
This singer with the last name "Stewart" recently had ankle fusion surgery. In this procedure surgeons commonly utilize three specific materials, two of which are plates and screws. What is the third material that is pictured and shares an epithet with the singer?

What is rod.
In the famous case of Phineas Gage, a man survived having a tamping iron through his head. Name 2 of the 4 bones pierced by the iron?

What is the zygomatic arch, orbital bone, frontal bone or parietal bone.