The three main parts of a tooth?
Crown, Neck, & Root

MIRROR QUESTION
The soft tissue that surrounds the teeth
Gingiva
MIRROR QUESTION
This bright white area on the X-ray is described as what?
Radiopaque
What is the term for inflamed, bleeding gums without bone loss?
Gingivitis

MIRROR QUESTION
What is the hardest structure in the body?
Enamel
MIRROR QUESTION
This is the innermost tissue of the tooth that contains blood vessels, lymphatics, and nerves.
Pulp

MIRROR QUESTION
This term means inflammation of the pulp
Pulpitis
What tooth surface is best seen on bitewing X-rays?
Interproximal surfaces

Poorly controlled diabetes is strongly associated with worsening of what oral condition?
Periodontal disease

Which city was the first in the world to fluoridate its drinking water?
A) Memphis, Tennessee
B) Aurora, Colorado
C) Las Vegas, Nevada
D) Cleveland, Ohio
E) Grand Rapids, Michigan
Grand Rapids, Michigan

Number 3 indicates:
a) the lateral incisor
b) the first molar
c) the first premolar

b) the first molar
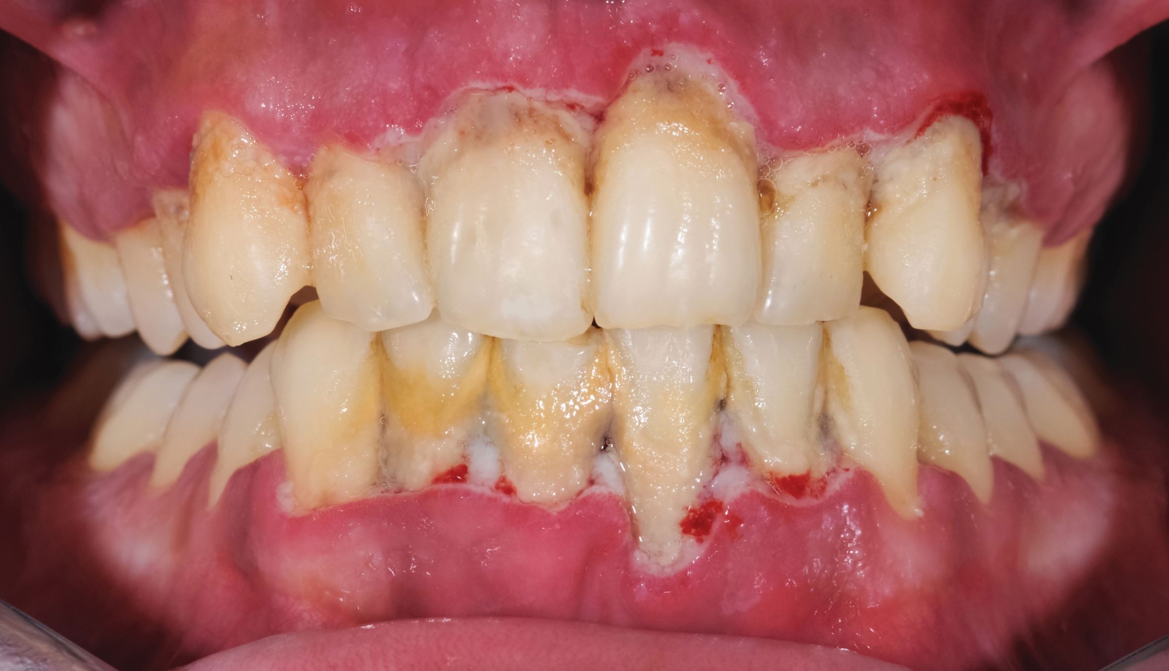
What condition is being shown when the gums pull away from the tooth, forming deep spaces?

Periodontal pockets

What's the name of this X-Ray and what type of patient?

Panoramic radiograph on a child
MIRROR QUESTION
What mineral helps strengthen enamel and prevent cavities?
Fluoride

BEST GUESS WINS
- Get people to pick your answer
- Turn in your answer, guess the correct answer and don't pick another team's answer
- 100 points for each team that guesses your answer, 0 points for picking wrong, 300 points for the correct answer
There was once a fourth member of Kellogg's Rice Krispies mascot gang. Originally it was Snap, Crackle, Pop, and _____
![]()
Pow
MIRROR QUESTION
In the photo of the floor of the mouth what do you see?
a. sublingual folds
b. sublingual caruncle
c. mandibular tori
d. lingual frenum
e. none of the above

c. mandibular tori
What is the difference between supragingival and subgingival calculus?
Above vs. below the gumline
A 45-year-old patient walks into the clinic complaining of a dull, achy pain on the lower right side that has been present for several weeks.
Pain is worse when chewing
No sensitivity to cold
No recent dental trauma
What abnormal finding do you see on the radiograph and what treatment would you recommend?

1. Root Canal Retreatment
2. Apicoectomy (Root-End Surgery)
3. Extraction & Replacement (Last Resort)
Mouth breathing in children can increase the risk of what oral health issue?
Dry mouth and cavities
MIRROR QUESTION
This animal has the largest canine(s) in the world.

The narwhal has the largest canine teeth in the animal kingdom, with its left canine tooth extending into a tusk that can grow up to 10 feet long
Name the tooth number and highlighted surface

#1 = Tooth #7 - mesial surface
#2 = Tooth #7 - distal surface
#3 = Tooth #3 - lingual surface
#4 = Tooth #30 - occlusal surface
#5 = Tooth #26 - buccal/facial surface
#6 = Tooth #23 & #19 - buccal/facial surface
#7 = Tooth #24 - lingual surface
#8 = Tooth #9 - incisal surface
What does the abbreviation “RPD” stand for?
Removable Partial Denture

Locate the 6 cavities


This image shows cervical abrasion and gingival recession. What brushing habit most likely caused this?
Aggressive horizontal brushing with excessive force
Which animal has 47-48 teeth?
Echidna
Mosquito
Baleen whale

Seahorse

Mosquito!