Proses masuknya cairan ke dalam sel disebut
Pinositosis
Tiga komponen utama yang wajib dimiliki oleh setiap sel adalah
Membran sel, sitoplasma, inti sel
Membran sel disebut bersifat semi-permeabel karena
Hanya dapat dilalui oleh molekul tertentu
Yang berfungsi sintesis ATP dari asam sitrat
Mitokondria
Retikulum endoplasma kasar memiliki fungsi utama untuk
Sintesis protein
Struktur yang berfungsi pada pembentukan gen adalah..
Ribosom
Penonjolan sel yang dapat bergerak dengan inti....
Mikrotubulus
Massa padat di tengah inti disebut..
Nukleolus atau anak inti
Proses keluarnya zat dari dalam sel disebut..
Eksositosis
Struktur yang membatasi sel dengan lingkungan luar adalah...
Membran sel/Plasmalema
Bagian sel yang berfungsi sebagai pusat kontrol genetik adalah..
Inti sel/Nukleus
Bagian dari sel yang terletak di antara membran plasma dan inti sel disebut...
Sitoplasma
Jenis lisosom yang kerja dengan cara autofagi adalah...
Autolisosom
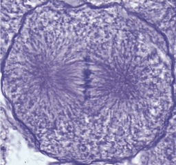
Pada fase anafase mitosis, peristiwa yang terjadi adalah...
Kromatid ditarik menuju kutub berlawanan
Proses sel membelah diri disebut...
Mitosis/Meiosis
Proses masuknya zat ke dalam sel disebut...
Endositosis
Sturktur yang menyusun kromosom adalah...
Kromatin
Komponen sitoplasma yang bersifat non-living (tidak hidup), tidak memiliki membran, dan biasanya bersifat sementara disebut...
Inclusion
Proses kematian sel terprogram disebut...
Apoptosis
Mikrotubulus berperan penting pada pembelahan sel, yaitu dengan
Menyusun benang spindel untuk memisahkan kromosom
Tautan sel yang berfungsi membuat sambungan kedap dan mencegah lewatnya cairan antar sel adalah...
Tight junction (occluding junction)
Hemidesmosom berbeda dari desmosom karena
Hemidesmosom menghubungkan sel dengan lamina basal, sedangkan desmosom antar sel
Sebutkan fase mitosis
Profase-Metafase-Anfase-Telofase

Telofase

Metafase