Name the sign 
What is barcode sign
Name 1 technique we can use to assess patient EF
What is
EPSS
Fractional Area change
Fractional shortening
Simpson techinique
Name the yellow structure

What is portal vein
Diagnosis

What is retinal detachment
Bonus points 200: what structure must be in view to diagnose retinal detachment
Who is travis kelce's girlfriend
Who is Taylor swift?
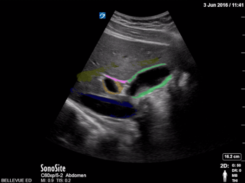
Name the structure A

What is CBD (common bile duct)
bonus point 100: what is the normal measurement of the CBD
On what view was this image obtained

What is PSAX
Bonus points 100: Name the 3 levels evaluated by PSAX
Patient with RUQ pain after eating. You place the probe on the RUQ and see this. Diagnosis ?

What is cholelithiasis
Diagnosis observed in image

What is vitreous hemorrhage
Name 2 kardashians
Khloe, kim, rob, kourtney
Name the sign

What is WES (wall echoing shadow sign)
What is the earliest sonographic finding of this pathology?

What is right atrial systolic collapse
What sonographic finding is appreciated in the image?
In the proper clinical setting with a symptomatic patient, what diagnosis may it suggest?

What is pericholecystic fluid
What is cholecystitis
Name the pathology seen

What is lens subluxation/dislocation
Name the most recent bad bunny album
What is Nadie Sabe lo que va a pasar mañana
Name the sign
What is seagull sign
Bonus points 200: tell me the structures that compose it? ie arteries
Patient presented SOB to the ED. During your eval you perform a cardiac US. What view is displayed? What sign is present? Name 2 diff diagnoses

What is A4CH
What is McDonnell sign
What is PH, PE
Caution, McDonnell sign has been classically attributed to PE but it actually happens due to RV ischemia since RV is not used to high after load. Thus any pathology that can affect RV after load can cause it. It has also been observed in cases of inferior ischemia
Name the pathology

What is choledocholithiasis
Diagnosis. One clue will be given if asked :)

What is retrobulbar hematoma
Bonus points 100: what procedure can be done to ease pressure and restore patient vision
What pop artist has a concert on friday in the kia center
Who is Olivia Rodrigo
Name the sign?

What is retrobulbar spot sign
bonus points 200: what pathology might it suggest
Patient found down, during pulse check you place the the probs in subcostal region and see this. What would you expect to see on the monitor?

What is Vfib
Bonus points 200: what nerve block has been proposed for refractory ventricular fibrillation
Name the finding

What is gallbladder polyp
Name the structure being tested in the image and the reflex being obtained

What is pupil
What is consensual light reflex
In what year was Titanic released?
what is 1997