You Can't Level Me!
If a child involved in a trauma is in need of a surgical airway, this is the relative age cutoff to switch from surgical cricothyrotomy to TTJI?
<10 years old
An extreme cervical flexion injury can cause this bilateral motor paralysis and loss of temp and pain distally... but light touch and proprioception remains?
Anterior cord syndrome
This worrisome (for some) shoulder XRAY actually has TWO associated injuries in one picture?
Anterior shoulder dislocation with Hill-Sach's deformity
These signs of penetrating neck injuries shouldn't be that HARDb to remember?
Hypotension
Arterial bleed
Rapidly expanding hematoma
Deficit (neuro)
Bruit/thrill or Bubbling wound
This common cause of anterior knee pain is mostly exacerbated by letting off-service residents see patients and using the stairs to the cafeteria?
Chondromalacia patellae
(patellofemoral pain syndrome)
This 3-letter named medication should be considered in patients suffering hemorrhagic shock... after a fluid bolus/blood products and ideally within 3 hours of injury?
TXA (Tranexamic Acid)
This indication for emergent thoracotomy deals with initial chest tube blood loss of?
>1500ml
Jordan G. with right shoulder pain?
Posterior shoulder dislocation
(electrocution and "convulsive" seizure MC mechanisms)
This is the most common abdominal organ injured in blunt trauma... and this is the most common site to view free fluid from it's injury in a FAST exam?
Spleen
RUQ
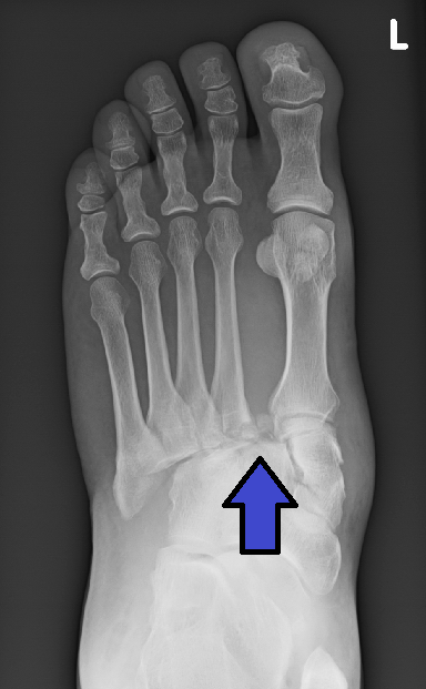
This foot injury is French for a twisting, compressive, axial load to a painful but necessary ortho consult?
Lisfranc injury
tarstmetatarsal fracture/dislocation
This is the formula for the lowest accepted "normal" blood pressure in a child >1year old?
70 + 2(age in years)
This blunt cardiac injury is caused by direct blow to the chest, typically leaves no permanent cell damage, and casts a Wizarding World-sounding "stunning" spell on the heart?
Commotio Cordis!
(must wave wand and say like a HP spell)
This dislocation (and subsequent reduction) can lead to injury to what nerves?
Ulnar (MC)
Median
If you can name at least 3 indications for transfer to a burn center, you're a 10%er!
1. Partial thickness >10%
2. face, hands, feet, genitalia, perineum, major joint
3. 3rd degree in any age group
4. Electrical burns (lightning)
5. Chemical burns
6. Inhalation injury burns
7. Burns + trauma
This French named fracture is proof that the "knee bone is connected the the ankle bone"?

Maisonneuve fracture (proximal fibular fx with disruption of the deltiod ligament or an avulsion of the medial malleolus)
Name this Classification of facial injury?
Le Fort II (Maxilla and nose move)
This joint diagnosis involves tender, warm, swollen area with joint aspirate of needleshaped negative birefringent crystals under polarized light?
Gout
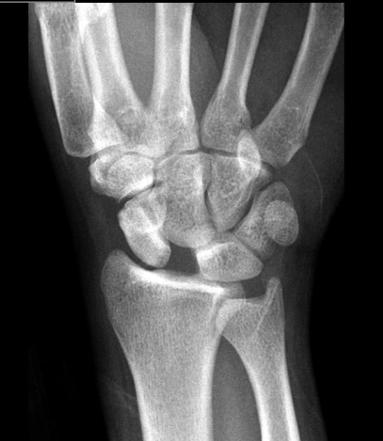
This carpal injury is named for two comedians that all you children are too young to remember?
Scapholunate dislocation
"David Letterman sign"
"Terry Thomas sign"
These 6 findings in extremity injuries (forearm, low leg) are Particularly Problematic, sometimes Perplexing, Painful, and Probably Perilous
Compartment Syndrome
6 P's: Pain (earliest), Paresthesia, Paralysis, Pallor, Palpable firm compartment, Pulselessness (latest)
This is the first imaging study you order on this unlucky patient, regardless of their GFR?
CT Angiogram lower extremity
(concern for arterial injury)
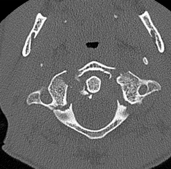
This fracture of C1 is "bursting" with instability?
Jefferson Fracture

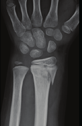
Name this Classification of fracture in relation to the growth plate of a pediatric wrist?
Salter-Harris Type II (metaphysis with extension into epiphyseal plate) (MC)
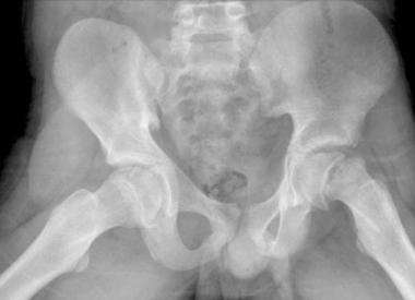
This 60kg 8 year old with left hip pain is hopping for an extra scoop?
Left Slipped Capital Femoral Epiphysis (SCFE)
This fixation point of the aortic arch most commonly leads to catastrophic aortic injury from a sudden deceleration?
Ligamentum arteriosum
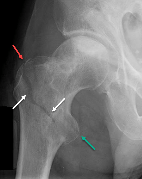
If you can't describe this fracture to your Bone Bro, you're an outdated Stryker part?
Right intertrochanteric fracture