What gas was absent from earth's prebiotic atmosphere?
Oxygen
How many micrometers are in 1 millimeter?
1000
What type of ribosomes are found in prokaryotic cells?
70S ribosomes
What type of cell is shown in this microgrpah?
plant cell
Which organelle controls what enters and exits the cell?
Plasma (cell) membrane
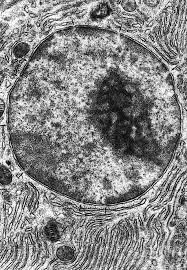
What organelle is shown in this micrograph?

Nucleus
What experiment provided evidence for the abiotic synthesis of organic molecules?
Miller - Urey experiment
What is the main difference between magnification and resolution?
magnification enlarges an image; resolution gives more detail in the image.
Identify two structures present in eukaryotes but not prokaryotes
nucleus, mitochondria, etc.
A cell contains centrioles and multiple small vacuoles. What kind of cell is it?
Animal cell
which organelle does aerobic respiration producing ATP?
mitochondria
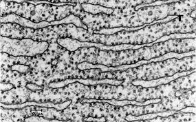
What organelle is pictured below?

Rough endoplasmic reticulum
Give one reason that RNA is hypothesized to be the first genetic material.
Can store genetic information, is able to self replicate, can catalyze reactions
What is the formula for magnification?
Magnification = measured length/actual length
Which type of cell contains its DNA in a nucleoid region?
Prokaryotic
Name 2 structures that are only found in plant cells.
cell wall, chloroplasts
Which organelle is involved in the digestion or large molecules?
Lysosome
What organelle is this and what type of cell is it found in?

chloroplast - plant cell
Name 2 environmental factors that provided energy for reactions on prebiotic earth.
UV radiation, lightning, heat, volcanic activity
A scale bar measures 20 mm but represents 0.5 µm. What is the magnification
40,000 x
Why do all cells need to have ribosomes?
They need ribosomes to make proteins.
Which structure(s) is/are present in both animal cells and plant cells?
I. Plasma membrane
II. Ribosomes
III. Cell wall
I and II only
Golgi apparatus

What are the structures labelled I and II in this image?
I - plasma membrane
II - mitochondria
What are the 3 parts of the cell theory?
Cells are the basic unit of life
all organisms are composed of at least one cell
all cells come from pre-existing cells
A mitochondrion measures 100 mm on an image. Magnification = X 40,000. Calculate actual size (in nm).
2,500 nm
List 3 similarities shared by prokaryotic and eukaryotic cells.
Plasma membrane
Cytoplasm
DNA
ribosomes
explain 2 differences in shape and appearance between typical animal and plant cells when viewed under a microscope.
plant cells: rectangular shape, large central vacuole
Animal cells: circular shape, no large vacuole
Name the function of the vacuole
They are involved in storing nutrients water and waste.
List the 3 organelles that can be seen in this image.

golgi apparatus
mitochondria
ribosomes
vesicles