What are the most common ocular presentations of GPA?
BONUS: What type of antibody is associated with microscopic polyangiitis? Specifically?
BONUS BONUS: What is the classical triad of granulomatosis with polyangiitis?
- Scleritis (diffuse anterior or necrotizing) in up to 40%
- Orbital involvement due to contiguous sinus spread of granulomatous process.
BONUS: p-ANCA, specifically against myeloperoxidase
BONUS BONUS:
- Necrotizing granulomatous lung disease
- Focal segmental glomerulonephritis
- Necrotizing vasculitis of the small arteries of the sinus
Please identify the Hutchinson triad
Interstitial keratitis
"CN VIII deafness" / sensorineural hearing
Hutchinson teeth
What is the most common ocular manifestation of dengue fever?
Petechial subconj heme
MORE TOXOCARA MADNESS (+100 each):
- List of animals who can transmit?
- Treatment?
- Animals? - Kittens, puppies, uncooked meat (rare)
- Oral albendazole (not established) + local/ systemic steroids
SPORTS:
This 44-year-old QB came out of retirement this past week and will assume a starting role. What is his name, what is the team, and who will he be usurping on the team?
Philip Rivers
Indianapolis Colts
Riley Leonard (PCL injury) / Daniel Jones
What is the likelihood of an idiopathic case of anterior uveitis being secondary to SLE (low, low-medium, medium?) What is the positive predictive value of ANA testing for a patient with intraocular inflammation? Explain things.
BONUS: What is the French phrase for this finding in a patient with sarcoidosis (+300)? What does this finding represent histologically (+100)?
Low likelihood. PPV of only 4%. Only obtain ANA in uveitis patients with systemic symptoms that correlate with SLE
BONUS:
"Taches de bougie" = candlewax drippings
Represents irregular nodular granulomas along venules
You're consulted from McLane's about a kiddo they are concerned about Bartonella infection. You're skeptical. Assume the Peds team is reasonable and willing to remove the consult if you walk them through the situation. Ask the Peds team questions.
BONUS: Jk. They don't listen. They want to treat as if it's Bartonella. What should you tell them?
Parinaud oculoglandular syndrome:
- Do they have conjunctivitis?
- Do they have LAD?
Neuroretinitis:
- Vision loss (typically unilateral)?
BONUS: Controversial. Doxycycline if >8 y/o +/- rifampin.
Panuveitis with chronic migratory arthritis and GI disturbances (weight loss from malabsorption and pitting edema from hypoalbuminemia) and possible CNS findings
Whipple disease
What are the three most common presentations of ocular toxocariasis?
1. Peripheral pole granuloma
2. Posterior pole granuloma
3. Chronic endophthalmitis

LITERATURE:
Truman Capote's groundbreaking 1966 book detailed the 1959 murder of the Clutter family in Holcomb, Kansas, and made him a pioneer of the true crime novel.
In Cold Blood

What is this finding (+100)? What disease is it associated with (+100)? What are other diagnostic criteria (at least three - +100)?
BONUS: What are the two mechanisms by which sarcoidosis causes band keratopathy?
Livedo reticularis
BONUS:
1. Positive serum antigen or antibody to HBV
2. Elevated serum Cr > 1.5 or BUN > 40 without other cause identifiable
3. Diffuse myalgia
4. Biopsy with small or medium arterial granulocytes/ mononuclear leukocytes
5. Development of HTN > 90 diastolic
6. Weight loss > 4 kg
7. Testicular pain
8. Mononeuropathy or multiple mononeuropathies or polyneuropathies
9. Arteriogram showing aneurysms or occlusion of the visceral arteries unrelated to alternative causes (e.g. fibromuscular dysplasia)
BONUS: Chronic inflammation and hypercalcemia

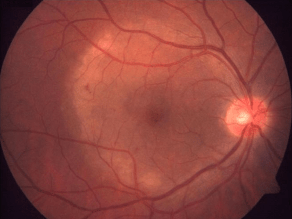
72-year-old Pakistani patient presents with the following finding. What are two other, ocular findings associated with this presentation?
Neurosensory retinal detachment, macular star formation
What are the 3 types of presentations of CMV retinitis?
1. Fulminant retinitis with large areas of hemorrhage with edematous / necrotic retina

2. Indolent peripheral disease with retinitis progressing from the borders of the lesion
3. Perivascular form with frosted branch angiitis

Non-compliant HIV patient presents with recent-onset headache and neck stiffness. DFE reveals the following:
- Diagnosis
- Recommended treatment?
Cryptococcosis
- India Ink stain identifies the organ (or positive culture)
- Amphotericin B and oral flucytocine


Suppose that artificial intelligence research has succeeded in programming a computer to behave as if it understands Chinese. The machine accepts Chinese characters as input, carries out each instruction of the program step by step, and then produces Chinese characters as output. The machine does this so perfectly that no one can tell that they are communicating with a machine and not a hidden Chinese speaker.
Does the machine actually understand the conversation, or is it just simulating the ability to understand the conversation?
John Searle
-Computers merely use syntactic rules to manipulate symbols, but lack understanding of semantics.
-TLDR: human minds are not computer-like information processing systems. There is a nonreductive element.

Fundus photos are from a 32-year-old female transferred from BUMC for retina coverage. You are allowed two additional questions to the patient.
BONUS: What is the retinal finding? How might you distinguish this finding from similar findings in older populations?
Susac syndrome.
Questions:
1. "CAN YOU HEAR ANYTHING I'M SAYING?" / sensorineural hearing loss?
2. "DO YOU UNDERSTAND A WORD I'M SAYING?" / encephalopathy?
BONUS: Gass plaque. Yellow material along arteriolar walls. In contrast to Hollenhorst plaque, AWAY from arteriolar bifurcations

On OCT Macula, you notice irregularities at the level of the RPE and loss of outer retinal layers.
What is this pathognomonic for (need very specific answer)?
Secondary syphilis
What is a cause of viral retinitis transmitted by mosquitos as well as aerosols of animal carcasses
BONUS: What is a potential cause of viral congenital retinitis that presents similarly to toxoplasmosis?
Rift valley fever
BONUS: Lymphocytic choriomeningitis virus (LCMV)
What bacteria is the symbiotic partner for onchocerciasis?
Wolbachia bacteria
MUSIC / IDK BUT IT WAS IN MY HEAD THIS AM
Where is this song from?
"The tide is high but I'm holdin' on
I'm gonna be your number one
I'm not the kinda girl who gives up just like that, oh no
It's not the things you do that tease and hurt me bad
But it's the way you do the things you do to me
I'm not the kinda girl who gives up just like that, oh no"
Given the context of this category, please name the finding (+100) and syndrome (+100). What systemic process is seen (+100). Please also the three other associated findings seen in the syndrome (+100 each).

BONUS: What is this condition (+100) that characteristically afflicted Christian Robertson's delightful father, Keith (HIPPA-protected)? What systemic process is seen (+100). Please also the three other associated findings seen in the syndrome (+100 each)

Paroditis seen in Heerfordt syndrome / Uveoparotid fever.
Acute form of sarcoidosis that can remit within 2 years.
Additional findings (with parotiditis):
1. Uveitis
2. Facial nerve palsy
3. Fever
BONUS:
Erythema nodosum. Lofgren syndrome.
Acute sarcoidosis again.
1. Bilateral hilar adenopathy
2. Febrile arthropathy
3. Acute iritis
+1500 points: False-positive and false-negative results may occur with both treponemal and non-treponemal testing.
False positive results can be from other treponemal infections. Please name the three examples given.
Yaws, pinta, bejel
Literally wut...?


32-year-old Puerto Rican patient presents with conjunctival injection and mild anterior uveitis. Associated findings of headache, myalgias, and vomiting.
You discharge with Pred Forte. You are later consulted on the patient in the hospital. Upon chart review you realize the patient became septic and developed hepatic failure.
What might this patient have?
Weil disease from leptospirosis
What is the Latin name for the larger worm known to cause DUSN (HINT: measures 1500-2000 um and found in northern midwestern United States)?
Baylisascaris procyonis
TV SHOWS: Name the show and character for this famous quote -
"Was that wrong? Should I have not done that? I tell you, I gotta plead ignorance on this thing, because if anyone had said anything to me at all when I first started here that that sort of thing was frowned upon... you know, 'cause I've worked in a lot of offices, and I tell you, people do that all the time"
George Costanza - Seinfeld
Sherrone Moore